
U pracownika jednej z wrocławskich szkół zdiagnozowano gruźlicę. Rodzice uczniów są zaniepokojeni, a lekarze szykują się do przebadania ponad ośmiuset osób na obecność prątków tej choroby. Czy przypadłość, która większości osób kojarzy się z zamierzchłymi czasami, wciąż stanowi realne zagrożenie?
REKLAMA
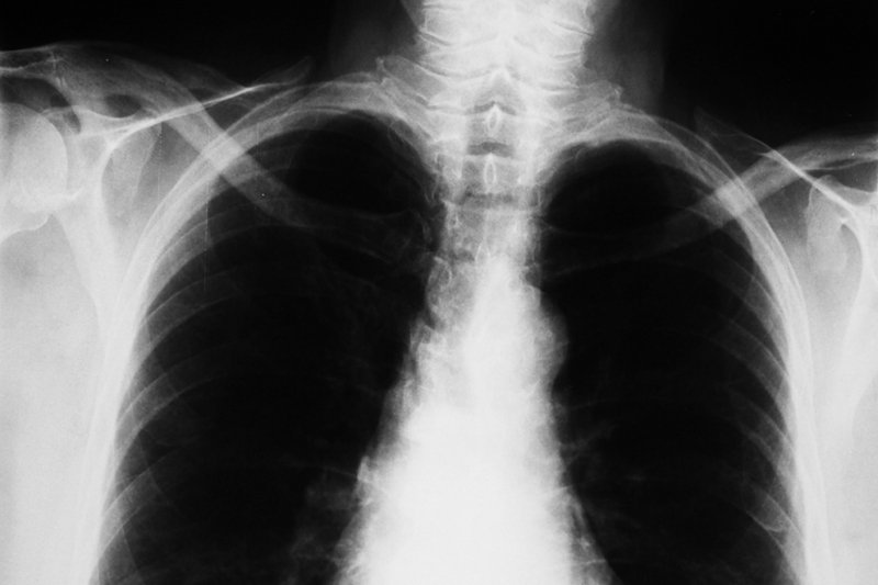
We wrocławskiej podstawówce na gruźlicę zachorował konserwator szkolny, donosi "Gazeta Wrocławska".Wszyscy uczniowie oraz personel będą teraz musieli zostać przebadani. Czy gruźlica, na którą zmarł Fryderyk Chopin, i której Tomasza Manna poświęcił wiele miejsca w "Czarodziejskiej Górze", na początku XXI wieku wciąż jest groźna? Zapytałem o to doktora Jacka Jagodzińskiego z Mazowieckiego Centrum Leczenia Chorób Płuc i Gruźlicy w Otwocku.
Dlaczego gruźlica wciąż wywołuje strach? Czy ciągle jest tak groźna, jak przed kilkudziesięciu laty?
Wciąż żyje pokolenie pamiętające czasy, kiedy na gruźlicę chorowało się długo i przewlekle. Jeszcze kilkadziesiąt lat temu to schorzenie powodować mogło trwałe inwalidztwo, pozbawiać ludzi pracy. Śmiertelność wynosiła ok. 10 proc., więc gruźlica stanowiła realne zagrożenie. Ale to nie jedyny powód. W ludziach ciągle żyje strach przed odrzuceniem, ostracyzmem, jaki spotykał kiedyś chorych. Gruźlicy, łatwo rozpoznawani ze względu na częste napady kaszlu, nawracające krwotoki i gorączkę, byli piętnowani – inni nie chcieli z nimi pracować, spotykać się, czy żenić.
Czy dzisiaj ten strach nie jest już nieco przesadzony?
Zgadzam się, dzisiaj gruźlica nie jest już takim problemem, jak choćby pięćdziesiąt lat temu. Z danych Instytut Gruźlicy i Chorób Płuc w Warszawie wynika, że w 1950 roku zmarło na tę chorobę ponad 26 tysięcy osób, podczas gdy w 2010 r. jedynie 575.
Czyli gruźlica wciąż bywa śmiertelna?
– W 2011 roku w Polsce na gruźlicę zachorowało 7515 osób.
– W 1950 roku z powodu choroby zmarły 26263 osoby, a w 2010 roku – 575 osób.
Niestety tak. Mimo że mamy leki pozwalające z nią walczyć, wiele osób zbyt późno zgłasza się do lekarza i nie daje się już ich uratować.
Czemu chorzy tak późno wybierają się do lekarza?
Przebieg choroby jest podstępny, często rozwija się ona bezobjawowo. Trzeba tu zwrócić uwagę na to, że wiele osób zaraża się gruźlicą, ale nigdy na nią nie choruje. To zupełnie inaczej, niż w przypadku np. grypy, która atakuje zaraz po zarażeniu. Wystąpieniu objawów gruźlicy sprzyja obniżenie odporności, związane np. z terapią nowotworową.
A jak poznać, że to właśnie gruźlica?
To trudne pytanie, nie ma tu jednej, dobrej odpowiedzi. Musimy opierać się na zdrowym rozsądku i iść do lekarza zawsze, jeśli mamy przewlekłe problemy z układem oddechowym. Często objawy gruźlicy ignorują palacze, sądząc, że ich problemy ze zdrowiem wynikają jedynie z nałogu.
W Polsce na gruźlicę w 2011 roku leczono 7515 osób. Czy to dużo?
W Polsce na gruźlicę w 2011 roku leczono 7515 osób. Czy to dużo?
To spora liczba. Wydaje mi się, że gruźlica jest dzisiaj częstsza, niż np. odra lub różyczka. Ale jednocześnie zrobiliśmy ogromny postęp względem poziomu zachorowalności sprzed kilkudziesięciu lat. Zaraz po wojnie, nawet do lat sześćdziesiątych, można było mówić o epidemii gruźlicy. Pojawiała się mniej więcej z częstotliwością 300 przypadków na 100 tys. mieszkańców. Dziś udało się ten współczynnik zredukować do 20 zachorowań na 100 tys.
Przebieg choroby jest podstępny, często rozwija się ona bezobjawowo. Trzeba tu zwrócić uwagę na to, że wiele osób zaraża się gruźlicą, ale nigdy na nią nie choruje.
Co sprawiło, że tak skutecznie zmniejszyliśmy skalę problemu?
W pewnym momencie rząd PRL podjął decyzję o szeroko zakrojonej akcji walki z chorobą. Powstały specjalistyczne placówki, w rządzie wydzielono specjalny “pion” do walki z chorobą, rozbudowano sieć sanatoriów i wprowadzono leki przeciwgruźlicze. Wiele antybiotyków przydatnych także w innych schorzeniach rezerwowano specjalnie dla gruźlików. W 1959 roku sprawę zwalczania choroby uregulowano nawet w specjalnej ustawie. Nie bez znaczenia było też oczywiście ogólne podniesienie poziomu życia społeczeństwa oraz takie inicjatywy, jak np. objazdowa stacja RTG jeżdżąca po polskich wsiach.
Jakie miejsce zajmuje Polska, jeśli chodzi o zachorowalność na gruźlicę? Czy jesteśmy już blisko poziomu państw Zachodu?
Wydaje się, że tak. Poprawa warunków socjalnych sprawia, że przypadków zachorowań jest mniej. Z drugiej strony jednak wysoki poziom życia nie jest sam w sobie gwarancją spadku liczby chorych. W Afryce epidemia gruźlicy trwa dalej, ale nawet w bogatych krajach Zachodu przypadków choroby jest całkiem sporo.

